对于养猪场而言,精准掌握母猪妊娠情况是提升养殖效益的关键环节 —— 及时识别空怀母猪可减少饲料浪费、缩短繁殖周期,准确判断妊娠母猪能为后续孕期管理提供依据。
准备工作
- B 超仪:提前充满电,检查屏幕显示、探头灵敏度等是否正常。
- 耦合剂:保证 B 超仪探头与母猪皮肤良好接触,减少声波传播干扰。
- 蜡笔 / 记号笔:用于标记检测结果,方便后续管理。
21天妊检
此阶段检查核心是 “查情”,通过观察母猪是否出现发情症状初步判断空怀情况:
- 巡视猪舍,重点观察母猪行为表现,如是否出现烦躁不安、频繁站立、外阴红肿或流出黏液等发情特征。
- 对有发情症状的母猪做好标记,后续需进一步结合 B 超检测确认是否返情,若确认返情需及时安排再次配种。
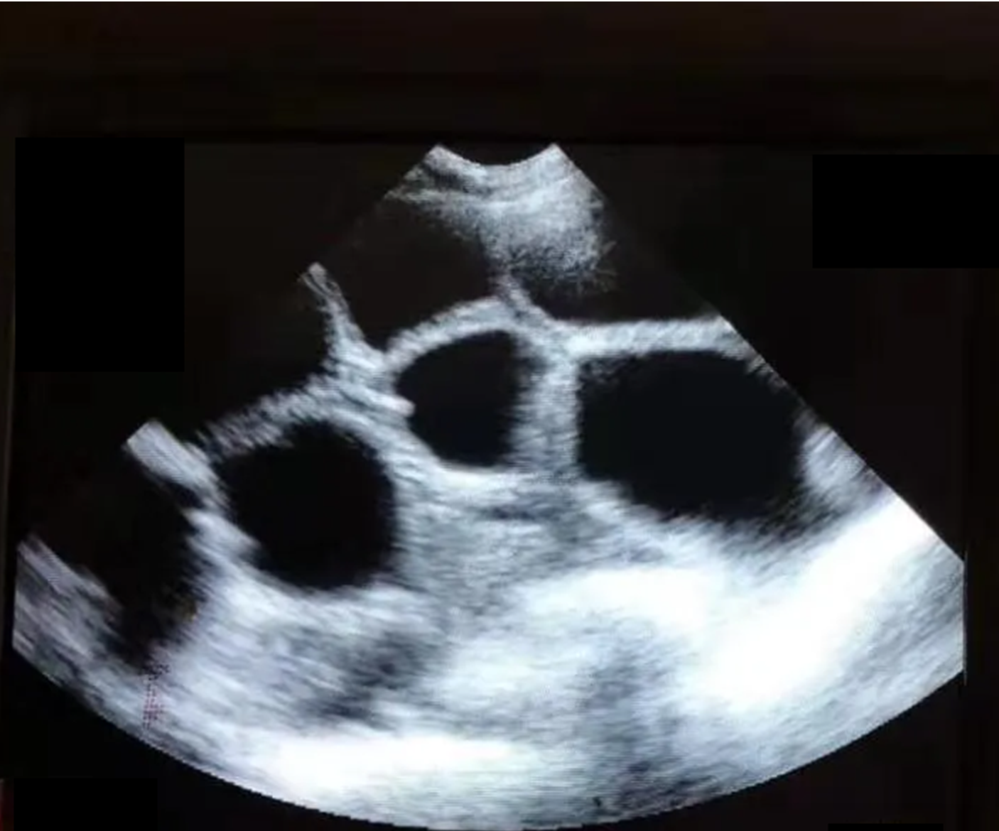
24-28天妊检
此阶段是确认妊娠的关键节点,需采用 “双人双检” 模式,确保检测结果准确:
人员安排:由两名员工对同一批次母猪依次进行检测,第二名员工需检查该批次全部猪只,不可仅抽查;
重点关注:第二名员工需重点复核第一名员工检测时标记的 “不确定” 母猪(如图像不清晰、无法明确判断是否妊娠的个体),通过双人交叉验证减少漏判、误判。
操作步骤:
第一步:将 B 超仪开机,切换至 “孕检” 专用界面,等待设备预热完成。
第二步:打开母猪定位栏门,从母猪后方缓慢进入(避免从前方惊吓母猪),确保人员与母猪安全。
第三步:确定检测位置 —— 母猪腹部与后腿连接的三角区,具体在最后第二、三乳头中间(因母猪为双角子宫,左右两侧均可检测,可根据母猪站位选择方便操作的一侧)。


第四步:在 B 超仪探头顶端均匀涂抹适量耦合剂,将探头紧贴母猪皮肤,轻轻施加压力,缓慢向前、向后或向侧面转动探头,直至屏幕显示清晰的妊娠图像(如可见孕囊、胚胎等特征)。

第五步:若单侧检测未获得清晰图像,需在另一侧重复上述操作;若两侧均无法获得清晰图像,立即为该母猪做好标记,等待复检。
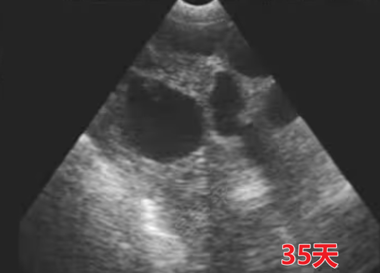
35天复检
此阶段主要是对前期检测结果的二次确认,操作流程相对简化:
由一名员工完成单批次母猪检测,重点关注上次检测时标记的 “不确定” 母猪,优先对这类母猪进行检测。
若确认妊娠则更新标记,若仍无法确定或确认空怀,需及时安排后续处理。

注意事项
- 孕检结束后,用干净的抹布或纸巾彻底擦拭 B 超仪探头,去除残留的耦合剂和污物,避免探头损坏。
- 将设备充电备用,存放于干燥、通风的专用柜中,防止受潮或碰撞。
- 确认孕检阴性(空怀)的母猪,需及时转移至配种栏,安排再次配种。
【版权声明】来源:猪猪养殖育种笔记。文章资料来源于互联网,由西南区整理发布,已标明来源,版权归原作者所有,内容仅供读者参考学习,不构成任何投资建议。如有侵犯原作者权益,请在评论区留言联系我们删除。
发表评论 取消回复